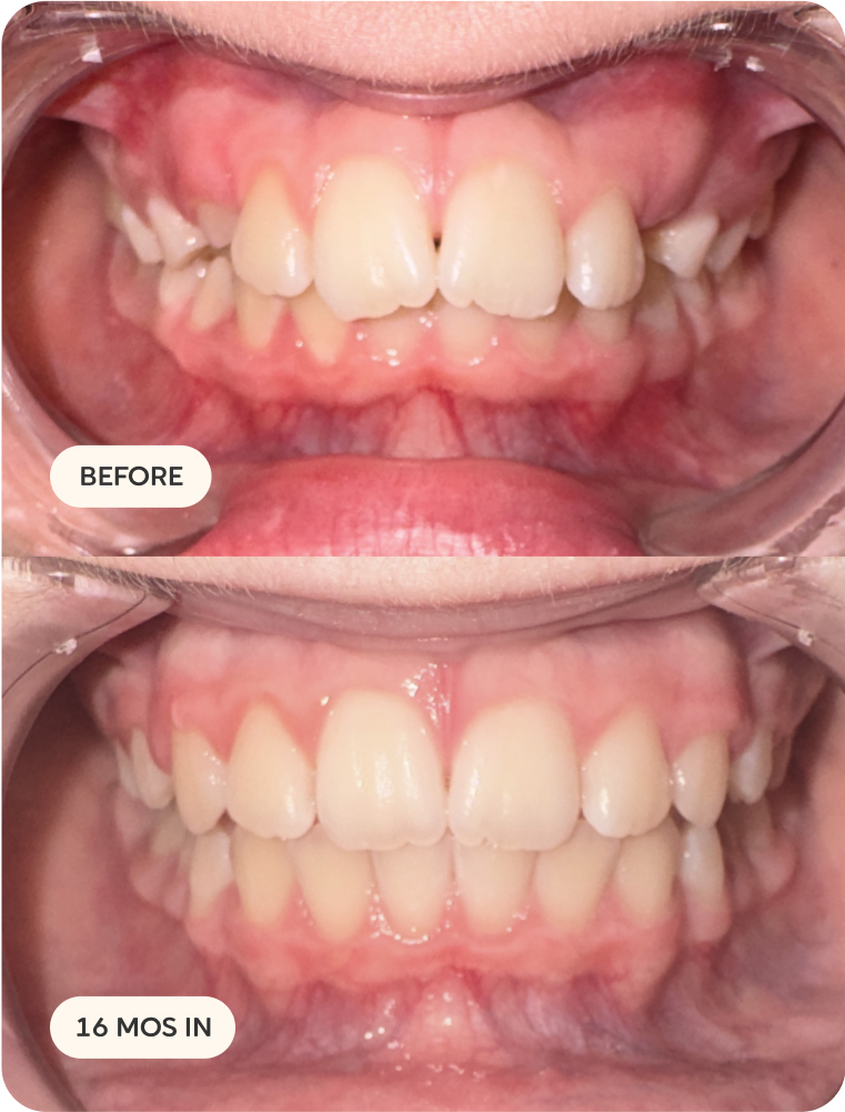
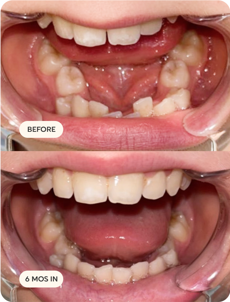
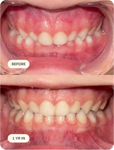
Jaw growth affects whether adult teeth will have enough room to come in straight and whether the airway stays open during development. Early guidance shapes healthier jaws, straighter teeth, and better breathing.
When a child breathes through their mouth, rests their tongue low, or struggles with swallowing, the jaw may grow too narrow. This can make it harder to breathe at night, fit adult teeth in, and avoid braces later on.
By age 2, over half of jaw growth has happened.
By age 12, it’s nearly complete.
Once the window closes, crowding and narrow jaws become harder to correct.
Submit for a FREE virtual assessmentMost of your child’s growth happens early—while their habits, breathing, and muscle use are still forming. These early years shape how their airway, teeth, and face develop.
WHY PALATE SHAPE MATTERS SO MUCH
The upper jaw and floor of the nose are formed by the same bone. Its shape controls breathing space.
Mouth breathing or low tongue posture prevents natural widening.
When the tongue rests on the palate, it acts as a natural expander to widen the jaw.
A narrow palate leads to crowded teeth, high palate, and restricted airway.
Crowding and misalignment
Limited space for teeth
Airway and breathing issues
Straight teeth do not equal a healthy smile
Retainers are often lifelong due to relapse
Braces move teeth into place—but without creating space, they often shift back
Healthy teeth may be removed to “make room”
Straight teeth alone don’t guarantee healthy breathing or proper jaw and facial development
Crowding returns if jaw size isn’t addressed
Braces move teeth into place—but without creating space, they often shift back
Retainers are often lifelong due to relapse
Straight teeth alone don’t guarantee healthy breathing or proper jaw and facial development
Healthy teeth may be removed to “make room”
Crowding returns if jaw size isn’t addressed
Most orthodontic care starts after jaw growth is mostly done, so treatment often fits teeth into a small space instead of creating the wf-avoidingbraces-right space.
Families are often told to “wait and see,” then get braces and possible extractions later—after the growth window has closed. Growth-guided care aims to create space first, then align teeth.
Natural jaw growth vs. traditional expanders:
One shared goal: enough room to grow.
The right approach depends on your child’s age, jaw growth, and tongue function. Early guidance works best while the jaws are growing. Later, some kids may need fixed expanders to create space more quickly.
The right approach depends on your child’s age, jaw growth, and tongue function. Early guidance works best while the jaws are growing. Later, some kids may need fixed expanders to create space more quickly.
The right provider checks both jaws and the airway. Expanding only the top jaw can crowd the tongue and affect breathing. Growth should be supported in both directions. That’s why we start with an assessment — to guide growth for lasting results.

DR. Kalli Hale
“Sometimes kids need more than one step to get the best results. Even after two years of oral appliance therapy, your child may still benefit from an expander. Nothing from that first stage is lost—oral appliance therapy has already laid the foundation by improving tongue posture, muscle balance, and jaw direction. An expander can then build on that progress by adding the extra space their smile needs. What matters most is making sure your child’s jaws are fully developed before they finish growing.”
Every child is different. Our free virtual assessment shows whether your child is a fit for Toothpillow or needs in-person care.
Submit for a FREE virtual assessmentIf your child shows any of these signs, it may indicate their jaws did not develop properly and they could have additional airway or growth concerns that deserve evaluation.
Picky Eating
Speech Issues
Mouth Breathing
Bedwetting
Sleep Apnea
ADD / ADHD
Crooked Teeth
Night Terrors
Snoring
Digestion
Persistent Cavities
Ear Infections
Large Tonsils & Adenoids
Grinding / Clenching
Headaches
Wondering if your child’s breathing, sleep, or behavior challenges are connected? Learn how symptoms like mouth breathing, snoring, and fatigue may be linked to jaw development.
Visit the symptoms pageFamilies are often told to “wait and see,” then get braces and possible extractions later—after the growth window has closed. Growth-guided care aims to create space first, then align teeth.
Ready to take the first step?


